Pearls of the Human Body
Gallstones: Trouble in your gallbladder
Dr. Erwin Damian V. Marcelo
3/16/20262 min read
A lot of people go through life without realizing that tiny stones may already be forming inside their gallbladder. These are called gallstones. Most people never experience any symptoms and may only be diagnosed incidentally with routine whole abdominal ultrasound. However, some of my patients do experience severe abdominal pain that sends them to my clinic, or worse, to the emergency department. Understand gallstone is the main topic for today to help patients recognize early symptoms and seek proper medical care before complications occur.
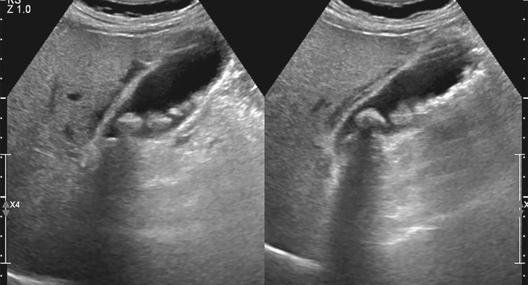
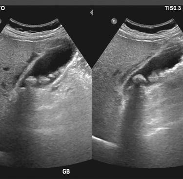
Doc Damian, what are gallstone, why are they bothersome to some people? Gallstones are hardened deposits of digestive fluid that form in the gallbladder, a small organ just below the liver. The main function of the gallbladder is to store bile, which helps digest fats. When the substances in bile become imbalanced, they can crystallize and form stones. I’m sure, you did not know that there are 2 types of gallstones: cholesterol stones and pigment stones. Cholesterol stones are the most common type, about 80% of cases – they form when bile contains too much cholesterol. The latter, pigment stones, are smaller and darker colored which is made up of bilirubin – and are often associated with liver disease or blood disorders.
Lucky for many, they haven’t formed the stones yet, but if you haven’t had your routine abdominal ultrasound you may want to know if you are at risk. As my mentors have thought me during my medical school, the main risk factors are composed of the THREE F’s: Female, Fat (overweight or obese) and Forty years old. However, the risk of developing gallstones is not only limited to these, but you may also develop if you are pregnant, on rapid weight loss diets, taking estrogen therapy, and a family history of gallstones. Be also advised that men and younger individuals are not spared from this disease.
As I had mentioned earlier, gallstones may be silent for a long period of time until pain is experienced by the patient. So, what type and characteristic of pain do we need to watch out for? The pain is in the right upper quadrant of the abdomen, that occurs after eating fatty meals and can radiate to the right shoulder or scapular area that may be associated with nausea/vomiting or bloated. Pain will only occur when a stone is already blocking the duct. If left untreated, gallstones can lead to serious complications such as acute cholecystitis (infection of the gallbladder), pancreatitis, obstruction and jaundice – when this are observed, urgent medical attention is warranted.
Huhuhuh, Doc Damian, I am diagnosed with gallstone, what do I do then? Well, we must categorize you if you are asymptomatic or symptomatic. Silent gallstones usually do not required treatment, but monitoring is heavily advised. For symptomatic gallstones, the standard treatment consists of laparoscopically removing the gallbladder. But Doc, will we still be able to live normally after surgically removing the gallbladder? Yes! Patients can live normally without a gallbladder because bile will still flow directly from the liver into the intestine.
If you are fortunate enough no gallstones were detected, we can prevent development of stones. Lifestyle changes is a must and the most effective way to avoid building stones in your gallbladder – maintain a healthy body weight, avoid rapid weight loss, eat a balanced diet rich in fiber, limit foods high in saturated fats and exercise regularly.
Gallstones are common but often unnoticed until they cause significant pain or complications. Recognizing symptoms early and seeking proper medical evaluation can help patients avoid emergency situations.
If you experience recurring abdominal pain, it may be time to consult your friendly internal medicine, and that is me - Doc Damian!




Contact
Caring for your better health!
docdamianmarcelo@gmail.com
©Doc Damian 2026. All rights reserved.
